Cele două vitamine care mențin calciul în oase și previn depunerea lui în artere. Esențiale pentru oase și inimă de Elena Oceanu Publicat: 3 decembrie 2025 8:40
Cum se ia corect vitamina D: combinația care schimbă regulile pentru oase și inimă. Sfaturile specialistului de Alecu Carmen Publicat: 1 decembrie 2025 18:30
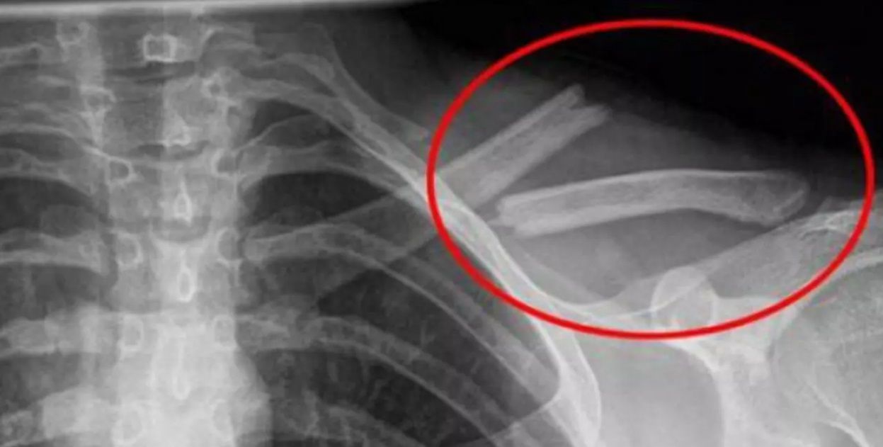
Medicii avertizează: Aceste suplimente vă distrug lent oasele de Maria Mocanu Publicat: 20 noiembrie 2025 7:40
Legătura dintre suplimentele cu calciu și riscul de demență la femeile în vârstă de Elena Oceanu Publicat: 13 noiembrie 2025 10:40
Vitamina D administrată prea mult timp poate distruge oasele și rinichii. Doza sigură de Elena Oceanu Publicat: 21 octombrie 2025 8:40
TOP 5 alimente care conţin mai mult calciu decât un pahar de lapte de Elena Marinescu Publicat: 17 august 2025 21:00
La ce oră să iei suplimentele de calciu pentru o absorbție optimă de Elena Oceanu Publicat: 10 iunie 2025 18:40
Efectele incredibile ale calciului. Ce cantitate este necesară pentru reducerea riscului acestei boli de Popescu Daniela Publicat: 9 mai 2025 15:12
TOP 9 alimente care au mai mult calciu decât un pahar de lapte de Maria Mocanu Publicat: 4 aprilie 2025 7:40
Osteoporoza după 45 de ani: Cum te ajută calciul, vitamina D și sportul să previi fracturile de Alecu Carmen Publicat: 30 martie 2025 11:30
De ce sunt contraindicate suplimentele cu calciu și colagen în artrită de Elena Oceanu Publicat: 20 martie 2025 19:00
Două suplimente pe care nutriționiștii le-au catalogat drept „periculoase” de luat împreună de Prisăcaru Theona Publicat: 15 martie 2025 20:30
Alimente bogate în calciu care previn demența și cancerul de colon de Ecaterina Matei Publicat: 6 februarie 2025 11:30; Modificat: 6 februarie 2025 11:30
Acest ceai are de 22 de ori mai mult calciu decât laptele. E AUR pentru sănătate! de Prisăcaru Theona Publicat: 28 ianuarie 2025 8:40
Leguma de sezon care conține mai mult calciu decât laptele și mai multă vitamina C decât portocalele de Elena Oceanu Publicat: 22 ianuarie 2025 8:40
Alarmant! Acest tip de apă crește riscul de demență de Elena Oceanu Publicat: 13 ianuarie 2025 21:30; Modificat: 13 ianuarie 2025 21:32
Lipsa acestor nutrienți esențiali provoacă o calitate slabă a somnului și chiar insomnii de Tănasă Sabina Publicat: 25 octombrie 2024 12:00
Doctor: Tot ce trebuie să știți despre deficiența de vitamina D de Maria Mocanu Publicat: 15 octombrie 2024 20:30
Fructul minune cu cel mai mare conţinut de calciu. Previne osteoporoza! de Elena Marinescu Publicat: 12 septembrie 2024 19:00
Cele mai bune 6 vitamine și minerale pentru creier și sursele lor naturale de Alecu Carmen Publicat: 11 septembrie 2024 15:00; Modificat: 11 septembrie 2024 16:14
Care sunt cele 5 alimente care distrug densitatea osoasă de Maria Mocanu Publicat: 18 august 2024 14:30; Modificat: 18 august 2024 14:31
TOP 5 alimente cu un conţinut mare de calciu, în afară de lapte de Elena Marinescu Publicat: 10 mai 2024 14:00; Modificat: 10 mai 2024 14:01
Vitamina mai puțin cunoscută care previne măcinarea oaselor de Elena Oceanu Publicat: 26 martie 2024 16:40
Cele două suplimente alimentare care ar putea preveni cancerul de Elena Oceanu Publicat: 12 martie 2024 11:05
Nutriționista Mihaela Bilic dezvăluie de cât calciu avem nevoie zilnic. Care sunt cele mai bune surse alimentare? de Elena Marinescu Publicat: 18 februarie 2024 15:00; Modificat: 18 februarie 2024 15:00
Alimentul care îi poate îmbolnăvi pe bărbați de cancer de prostată de Elena Oceanu Publicat: 16 februarie 2024 18:40; Modificat: 16 februarie 2024 18:41
De ce e bine să bei un pahar cu lapte cald seara înainte de culcare de Elena Oceanu Publicat: 15 februarie 2024 20:03
Aur pentru sănătate. Băutura care are de trei ori mai mult calciu decât laptele și de două ori mai multă vitamina C decât o portocală de Prisăcaru Theona Publicat: 9 februarie 2024 13:30; Modificat: 9 februarie 2024 13:31
Cum știi dacă ai suficient calciu în dietă? Ar trebui sau nu să iei suplimente? de Alecu Carmen Publicat: 2 februarie 2024 13:00; Modificat: 2 februarie 2024 13:03