Top 5 remedii naturale pentru CEARCĂNE, acnee și puncte negre. Reţete din străbuni de Elena Marinescu Publicat: 18 decembrie 2023 22:00; Modificat: 18 decembrie 2023 22:01
Ai coșuri pe piept? Boala tăcută de care s-ar putea să suferi de Prisăcaru Theona Publicat: 7 septembrie 2023 10:20; Modificat: 7 septembrie 2023 10:22
O femeie de 52 de ani, șocată să descopere că un coș de pe nas era de fapt cancer de piele de Prisăcaru Theona Publicat: 6 mai 2023 9:30
Acneea vaginală, sursă de mare disconfort; care este CAUZA acestor erupții de Alecu Carmen Publicat: 9 ianuarie 2023 12:00
Ce este triunghiul periculos al feței. De aici se pot declanșa infecții la creier de Elena Oceanu Publicat: 4 iunie 2022 10:30; Modificat: 4 iunie 2022 11:18
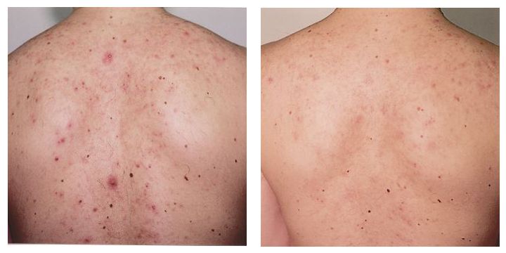
De ce apar coșuri pe spate? Atenție! Ai putea suferi de aceste afecțiuni de Prisăcaru Theona Publicat: 3 mai 2022 8:30
Coșurile de pe spate și corp – de ce apar și cum le putem preveni de Irina Lungu Publicat: 7 februarie 2020 10:45; Modificat: 7 februarie 2020 10:46
Dermatolog: ”Acneea în cazul adulților a ajuns la nivel de epidemie”. Ce factori o declanșează și cum se poate trata eficient de Elena Oceanu Publicat: 18 noiembrie 2019 16:58
Remedii naturale pentru acnee. Ce produse să nu folosești niciodată dacă ai coșuri de Irina Lungu Publicat: 16 iulie 2019 17:22
PSIHOLOGIA din spatele popularității. Un subiect scârbos ridică mari curiozități de Parcalabu Liliana Publicat: 15 septembrie 2018 7:35; Modificat: 29 octombrie 2018 23:53
Nu mai scapi de coșuri? 10 greșeli aparent inofensive care înrăutățesc acneea de Elena Oceanu Publicat: 17 iulie 2018 12:30; Modificat: 17 iulie 2018 12:33
Mihaela Leventer: ”Care este cea mai gravă greșeală pe care o poți face când ai un coș”… de Irina Lungu Publicat: 23 octombrie 2017 8:30
Cum să scapi definitiv de acnee și de cicatricele provocate de această afecțiune de Elena Oceanu Publicat: 1 septembrie 2017 12:08
VIDEO / Ingredientul care te scapă de coșuri pentru totdeauna! Folosește-l înainte de culcare de Elena Oceanu Publicat: 28 aprilie 2016 13:40
Soluție simplă și la îndemână pentru a scăpa de coșuri de Ana Maria Nitu Publicat: 18 februarie 2016 0:07
Cearcăne, riduri, pete. Patru alimente pe care le consumi zilnic îți distrug tenul de Elena Oceanu Publicat: 2 noiembrie 2015 14:58
Remediul din bucătăria ta care te scapă de acnee în doar trei zile de Elena Oceanu Publicat: 23 octombrie 2015 10:34
Soluția pentru un ten curat și luminos în orice anotimp de Elena Oceanu Publicat: 21 octombrie 2015 16:33
Cum elimini coșurile și punctele negre + rețete de măști pentru față de Ana Maria Nitu Publicat: 15 octombrie 2015 7:00
Șase remedii naturale care te scapă de coșurile de pe spate de Elena Oceanu Publicat: 17 august 2015 15:00
Ai coșuri pe frunte sau obraji? Zonele în care apare acneea îți arată de ce boli suferi de Elena Oceanu Publicat: 5 august 2015 9:10
Cum sa previi iritatiile si cosurile cauzate de telefonul mobil de Elena Oceanu Publicat: 25 aprilie 2015 8:03
Ceaiul verde, tratament miraculos împotriva acneei. Iată cum să-l folosești de Elena Oceanu Publicat: 17 aprilie 2015 18:00
Acneea, boala care dă bătăi de cap: „Nu se tratează acasă și nici în saloanele de înfrumusețare” de Elena Oceanu Publicat: 23 decembrie 2014 10:42
5 mari greseli de ingrijire corporala care iti pot dauna sanatatii de Elena Oceanu Publicat: 7 decembrie 2014 10:08
Epidemie de acnee la adulți. Cauzele neașteptate și soluții de Elena Oceanu Publicat: 20 noiembrie 2014 15:07