Tag: gingii
Semnul mai puțin cunoscut din gură care anunță cancer de prostată. Tot ce trebuie să știi
Inflamația gingiilor și boala periodontală pot fi semne timpurii ale cancerului de prostată. Află ce simptome să urmărești, riscurile...
De ce îți miroase urât respirația dimineața?
Ați avut vreodată acel moment ciudat când respirația de dimineață este foarte neplăcută? În timp ce te trezești, entuziasmat...
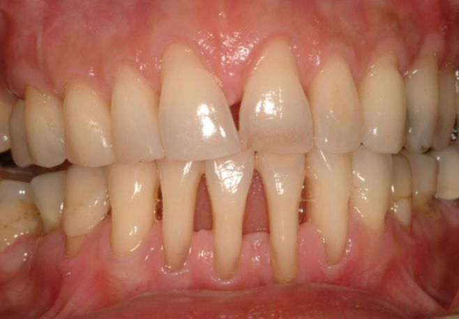
Ți s-au retras gingiile și te doare când te speli pe dinți? Iată ce trebuie să faci!
Foarte mulți oameni se plâng de dureri de dinți atunci când își fac igiena dentară. Retracția gingivală este o...
Cum poate fi prevenită apariţia parodontozei. Bacteriile care atacă gingiile! Primele semnale de alarmă
Parodontoza este o boală care afectează la nivel mondial peste 20% dintre adulţii cu vârsta cuprinsă între 35 şi...
Atenţie la boala care duce deseori la pierderea dinților! Gingiile pot fi „atacate” de microbi
Parodontoza este o boală care afectează la nivel mondial peste 20% dintre adulţii cu vârsta cuprinsă între 35 şi...
Acest obicei zilnic poate duce la abcese cerebrale potențial fatale
Mulți oameni înțeleg importanța unei bune igieni orale. Poate însemna diferența dintre dinții sănătoși și carii, precum și probleme...
Îți sângerează gingiile? Poate fi semnul unei probleme de sănătate
Îți sângerează gingiile? Cu siguranță și-au sângerat și ție gingiile. Acest lucru nu trebuie să te îngrijoreze, dar poate...
Diabet: semne că glicemia nu este sub control. Acționează imediat, înainte de a fi prea târziu
Diabet: semne că glicemia nu este sub control. Acționează imediat, înainte de a fi prea târziu.
Nivelurile necontrolate ale...
Gingii inflamate: 4 remedii naturale pe care oricine le are la îndemână
Gingii inflamate: 4 remedii naturale pe care oricine le are la îndemână
Octombrie este marcată ca Luna igienei dentare și...
Şocant! Bolile gingiilor și lipsa dinților asociate cu un risc cu 75% mai mare de CANCER la ficat
Şocant! Bolile gingiilor și lipsa dinților asociate cu un risc cu 75% mai mare de CANCER la ficat.
Sănătatea orală...
5 mituri dure despre sănătatea orală pe care nimeni nu ți le va spune
5 mituri dure despre sănătatea orală pe care nimeni nu ți le va spune.
Există mai multe fapte despre...
Ai gingiile inflamate? Iată câteva soluții naturale care te pot ajuta să ameliorezi disconfortul
Majoritatea persoanelor se confruntă, la un moment dat, cu inflamarea gingiilor. Aceasta poate fi cauzată de o multitudine de...
Cum poate fi depistat cancerul bucal: 4 simptome ale bolii. Atenție!!! Se poate ascunde în spatele unei banale afte!
Cum poate fi depistat cancerul bucal: 4 simptome ale bolii. Atenție!!! Se poate ascunde în spatele unei banale afte!
Rănile...
Vapatul dăunează grav sănătății orale. Studiu. „Vapingul influențează creșterea unor bacterii într-un mod asemănător cu fumatul, dar cu propriul profil și riscuri pentru sănătatea...
Vapatul dăunează grav sănătății orale. Studiu. „Vapingul pare să influențeze creșterea unor bacterii într-un mod asemănător cu fumatul, dar...
Cum știi că ai o carență de vitamine? Fii atent la semnele pe care ți le transmite corpul
Cum știi că ai o carență de vitamine? Fii atent la semnele pe care ți le transmite corpul
Pentru a...
Boala gingiilor legată de rezultatele severe ale COVID-19
Unul dintre cele mai uimitoare lucruri despre COVID-19 este gama sa largă de efecte secundare la persoanele care suferă...
Sângerarea gingiilor, un semn de alarmă. Poate anunța leucemia
Sângerarea gingiilor reprezintă un simptom frecvent al bolii gingivale. Ele sunt cel mai frecvent determinate de îndepărtarea inadecvată a...
Atenție la sângerarea gingiilor și la aspectul limbii pentru că pot ascunde un cancer oral
Sângerarea gingiilor, petele de pe limbă sau sau senzaţia că aveţi ceva în gât, fără a identifica o cauză pot...
Durerile dentare sunt înfiorătoare. Care sunt cele mai frecvente 5 cauze care le produc
Durerea dentară este descrisă de mulți drept cea mai rea dintre toate: puternică și insuportabilă. Cauzată de cele mai...
Mineralul care protejează smalțul dinților. Lipsa lui duce la boli grave
Organismul nu poate funcționa normal fără acest mineral care este un constituent important al oaselor și al dinților. Beneficiile...
Simptomul care anunță o boală gravă și ne dă fiori reci! Care sunt cele mai frecvente motive ale sângerării gingivale
Sângerările gingivale anunță boli grave. Atunci când ne gândim la sănătatea dentară primul lucru care ne vine în minte...
Paradontoza și motivele care duc la apariția acestei boli. 9 din 10 români sunt afectați
Paradontoza afectează 9 din 10 români, statistică îngrijorătoare cu privire la această nedorită boală.
Parodontoza nu ţine cont de vârstă,...
6 motive pentru care îți sângerează gingiile. Stomatolog: „Cel mai rău lucru pe care îl putem face este…”
Urmele de sange pe periuta dentara, ramase pe un mar din care am muscat sau in spuma din chiuveta...
Un fruct care AJUTĂ la SLĂBIT albește cu putere DINȚII
Dinții sunt cartea de vizită a oricărei persoane, iar dacă aceștia au pete sau sunt decolorați, riscați să dați...
Opt semne ca ar trebui sa mergi neapărat la dentist
Primele semne ale unor afectiuni de ordin stomatologic sunt adesea ignorate fie din cauza lipsei timpului liber, fie din cauza...
De ce te dor dinții. Cele mai întâlnite cinci cauze
Durerea de dinti este descrisa de multi drept cea mai rea dintre toate: puternica si insuportabila. Cauzata de cele...
Trei probleme ale dinților pe care le pot avea copiii și cum le puteți preveni
Odata cu inceperea scolii, cei mici trec printr-o serie de schimbari – vremea se raceste, programul li se schimba,...
Cele șase semne ale bolii care distruge dantura
Urmele rosii de sange pe periuta sau in chiuveta pot fi semnele de inceput ale parodontozei, o afectiune care,...
Cinci motive pentru care sângerează gingiile
Gingiile va sangereaza la cea mai mica atingere? Spalatul pe dinti a devenit un calvar? Scuipati sange atunci cand...
Cum alegem corect periuța și pasta de dinți potrivite
De nenumarate ori ne-am aflat la supermarket in fata raftului de produse de ingrijire orala, punandu-ne numeroase intrebari: “Ce...
